Case of the week (week 30, 2023)
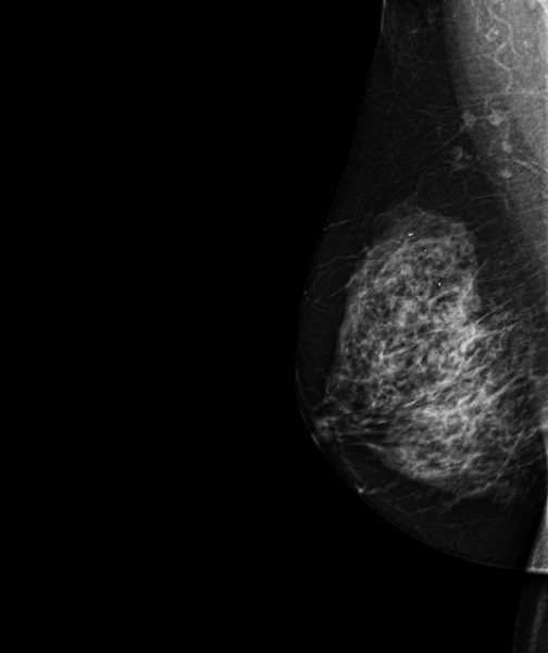
69-year-old female patient, coming in for a breast cancer screening exam.
MammoScreen indicates an external right breast lesion with architectural distortion.
The ultrasound found a 10mm hypoechoic formation with irregular contours; elastography study indicates stiffness.
The biopsy performed indicates an infiltrating ductal carcinoma SBR 1, RH+, HER2-, with 5% proliferative activity. With its scoring of 5, MammoScreen successfully alerted the radiologist and facilitated the detection of the carcinoma.










