Case of the Week (week 42, 2021)
74 year old female with a family of breast cancer in two maternal aunts (age 80’s).
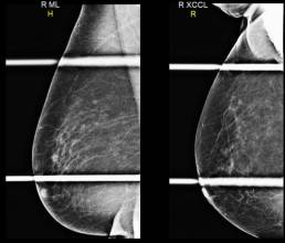
Screening mammogram: new small spiculated, 0.6 cm mass in the right upper outer quadrant, which persisted on spot compression views. MammoScreen: Soft tissue lesion noted on both the CC and MLO views with a score of 6. Ultrasound: 0.6 x 0.5 x 0.7 cm vascular mass. Shear wave elastography: The lesion is soft which lowers the level of concern. Ultrasound guided core biopsy: Micro invasive carcinoma with DCIS; ER/PR + Her2 -. Ki-67 moderate 11%.
*Case from Weinstein Imaging Associates, Danielle Sharek, M.D.










