Case of the Week (week 42, 2023)
Screening in 2020. The breast density is B.
Two prior exams (of 2019 and 2018) were benign.
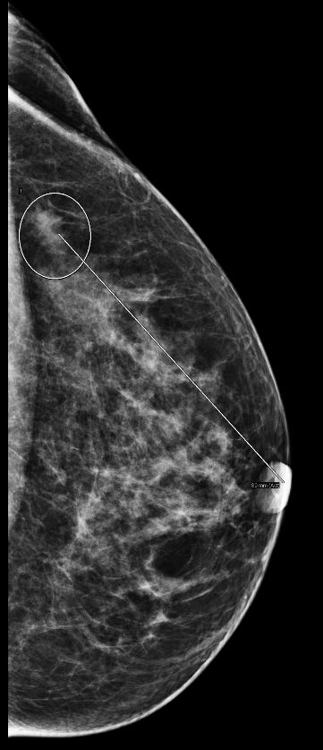
An asymmetry has been found in the left breast, at the far posterior upper outer quadrant. The tomosynthesis highlighted a spiculated mass at the location of the asymmetry, 9 cm from the nipple.
It seems that the mass has been growing since prior examinations.
Further evaluations were recommended including spot compression and ultrasound.
The biopsy confirmed that this a ductal carcinoma in situ (DCIS), grade II.
MammoScreen spots very well the spiculated mass in the tomosynthesis giving a score 9 of highest suspicion.
Such a high score, would alert and focus the attention of the radiologist.











