Case of the week (week 17, 2021)
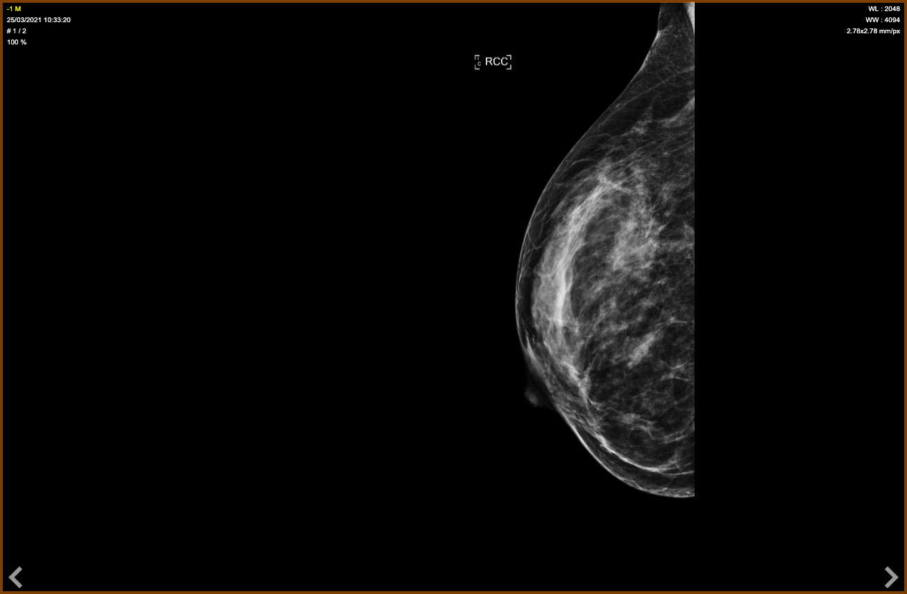
47-year-old woman, screening mammogram.
A cluster of 18 mm amorphous microcalcifications projecting on the right pectoral muscle BI-RADS 4b, difficult to see.
Macrobiopsy under stereotactic control with radiography of the specimens.
Results: Fibrocystic mastopathy associated with focal atypical ductal hyperplasia.
*Case from the practice of Dr. Bruno Borens







