Case of the Week (week 33, 2024)
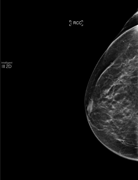
This patient was assessed in 2023. A 5 mm malignant mass was detected on the left breast by the radiologist and MammoScreen, with a score of 6, on the oblique only.
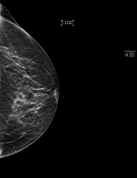
By analyzing the previous 2022 review with MammoScreen, the mass, still smaller and less spiced, is detected by the software with a score of 5 on both incidences.
With this clinical case, MammoScreen was able to successfully detect cancer a year earlier.
This case illustrates well the human limits in terms of detection of small, subtle lesions, the radiologist may, in particular circumstances (fatigue, delay, lack of concentration), overlook this type of lesion.
AI is fundamental in these moments of decreased acuity of the radiologist in order not to ignore these subtle lesions potentially malignant.
Imagerie Médicale Mermoz (Dr Tourasse)










