Case of the week (week 25, 2021)
All-in-one case: from screening to pre-operative scans.
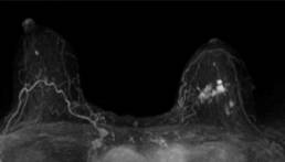
Review of the file in a specialized center before surgery showing multicentricity with additional distortion of the internal quadrants ACR5, noted by the Mammoscreen® analysis. The analysis revealed an MRI lesion assembly over 5 cm in height, 2.5 cm in transverse diameter, as well as a non-inflammatory global left breast retraction. The case results in a modification of the surgical pec initially planned with total mastectomy.
Case from the practice of Dr. Daroles





