Case of the week (week 51, 2022)
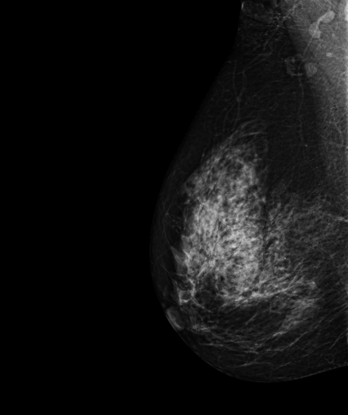
MammoScreen® points to developing asymmetry of the right breast.
Ultrasound confirms an 8 mm hypoechoic formation of the right outer quadrant of the breast 6 cm from the polylobed nipple.
Microbiopsy confirms infiltrating carcinoma SBR 2 RH+.
*Case from the practice of Dr. Le Van An.










